
RECALL: The Consumer Product Safety Commission (CPSC) is recalling all models of Fisher-Price Rock N’ Play sleepers after it was linked to over 30 infant deaths.

MASCOTS: I love this – Mama Buzz sent me this photo of a sentimental shelf she decorated. The photo on the right is of a painting that D’s mom did when she was a teen-ager in Italy. The blue pot is from my mom’s ceramics period. And Peter Rabbit is from our Beatrix Potter themed nursery when Mama Buzz was a wee one.

OBAMAGATE: Dearest and I have been saying for ages that Obama made Nixon look like a rank amateur. John Leonard has a good article up at American Thinker called, “Worse than Watergate.”

19th c. PROLIFE HERO YOU’VE NEVER HEARD OF: Dr. Horatio Robinson Storer – In 1859, Dr. Storer formed the AMA’s first committee on abortion. In 1860, they wrote a letter to Congress and State legislatures explaining the scientific discovery that life began at conception and asking for new laws to defend the unborn.
With the help of early feminists, they succeeded: new laws were passed throughout the country that greatly restricted abortion and subsequently saved millions of lives. One scholar estimates that most Americans have at least one direct ancestor who lived because of those laws.

UNPLANNED: 94 clinic workers have come forward after watching the movie to seek help leaving their jobs!

ABORTIONISTS COVER FOR ABUSER: A woman has come forward to report on the long-term sexual abuse she endured for years at the hands of a much older man. She says it began when she was 12 and that he forced her to have seven abortions to hide and continue his crimes.
HATE TRUMPS TOLERANCE: When Michael Knowles from Daily Wire appeared at the University of Missouri-Kansas City, to give a speech called, “Men Are Not Women”, a Leftist tried to douse him with an unknown liquid. Fortunately, he couldn’t shoot straight and LEOs immediately took him into custody.

SECRET SERVICE: I just read First Family Detail about the Secret Service. I dunno if the author had a political agenda or if Democrat presidents have actually been immoral pigs. According to him …
- Kennedy and Clinton were horn dogs who forced their detail to cover for their adulterous activities.
- Johnson was an exhibitionist who apparently had a real thing for his man parts; he’d whip them out to pee or just show off during meetings, press conferences. Yuck.
- Carter was a phony who made a show of carrying his own luggage (an empty bag) and keeping a “dry” white house (he and Roz drank in secret).
- Clinton was always late for everything. And his wife was and continues to be the worst protectee ever. Getting stuck on her detail is a punishment.
- Reagan and both Bushes were gentlemen who treated their details with respect. Laura Bush is everyone’s favorite; the anti-Hillary FLOTUS.
- Among VPs, Biden and Gore were also awful, Cheney was everyone’s favorite.
- Biden used his AF2 like a taxi, flying home every weekend and then, if Obama wanted to golf with him, flying back for golf, then back to Delaware to finish the weekend. It cost taxpayers mega bucks.
- The only Democrat that wasn’t lambasted in the book was Obama. Whenever he didn’t treat his detail well, Michelle called him out on it. She and the girls were well liked.

BIOLOGY: God’s amazing creation –
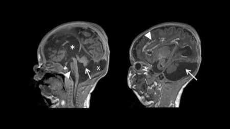
Microglia make up 10 percent of the brain’s cells, but they are not neurons and therefore have long been overlooked. The brain of a baby boy born without them grew enough brain neurons to fill his skull, but they ended up in the wrong places and made the wrong connections. Microglia, scientists have started to realize, guide the development of the brain.
Sesquizygotic twins are so rare that only two cases have ever been documented. It is believed they are the result a single egg being fertilized by one X and one Y sperm. Normally, such fetuses do not survive. But in sesquizygotic twinning, the mess somehow manages to sort itself out into two embryos – one male and one female — who grow into twins who are half identical and half fraternal.


![]()






